
Atelectasis and other pulmonary complications frequently arise after coronary artery bypass grafting (CABG). The sternum support vest (Posthorax®) has previously demonstrated efficacy in reducing the risk of mediastinitis following median sternotomy. Observations at Karolinska University Hospital suggested that this vest might also mitigate the risk of atelectasis. This study aimed to objectively evaluate whether the sternum support vest could significantly decrease the occurrence of pulmonary complications, particularly atelectasis, in patients following median sternotomy.
The study was designed to assess the effectiveness of the sternum support vest in lowering the risk of pulmonary complications, focusing on atelectasis in patients post-surgery. Two groups were compared: Group A, who underwent surgery prior to the introduction of the vest, and Group B, who had surgery after the vest was implemented.
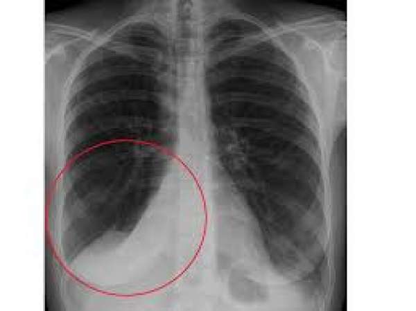
To measure the severity of atelectasis, researchers utilized scoring systems based on chest X-ray images. The findings revealed that Group B exhibited a significantly lower prevalence of complete or near-complete lobar atelectasis compared to Group A, with a notable emphasis on the results among male patients.
These results indicate that the Posthorax® vest plays a crucial role in reducing pulmonary complications post-cardiac surgery.
For comprehensive insights, please refer to the full study available at the following link: Karolinska Study on Atelectasis https://posthorax.com/media/files/studies/08_PEK_Atelectasis_Karolinska.pdf